หัวข้อข่าว

อังกฤษฝังชิปใต้ตา เทคโนโลยีใหม่ช่วยผู้ป่วยกระจกตาเสื่อมให้กลับอ่านหนังสือได้อีกครั้ง

AMD

ทีมนักวิจัยจากอังกฤษร่วมกับกลุ่มยุโรป เผยผลการทดลองต้นแบบที่ตีพิมพ์ใน New England Journal of Medicine: อุปกรณ์ฝังใต้จอประสาทตา (ชื่อ PRIMA) พร้อมแว่น AR ช่วยให้ผู้ป่วยโรคจอประสาทตาเสื่อมตามวัย (AMD) จำนวนมากกลับมามองเห็นส่วนกลางและอ่านหนังสือได้อีกครั้ง นับเป็นก้าวสำคัญของการฟื้นฟูการมองเห็นที่ยังไม่มีวิธีรักษาให้หายขาด

อะไรเกิดขึ้นในการทดลองนี้

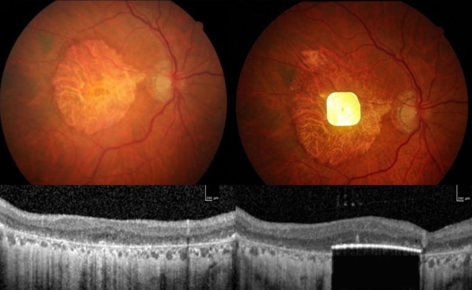
  • ผู้วิจัยทดลองกับผู้ป่วย AMD แบบแห้งระยะลุกลาม 38 คน จาก 5 ประเทศในยุโรป

  • ผลการประเมินหลังฝังชิป 1 ปี (จาก 32 คนที่เข้ารับการประเมิน) พบว่า 27 คนสามารถอ่านหนังสือได้ด้วยการมองเห็นส่วนกลาง อีกครั้ง

  • งานวิจัยถูกเผยแพร่ในวารสารการแพทย์ชั้นนำเมื่อวันที่ 20 ตุลาคมที่ผ่านมา

ระบบนี้ชื่อ PRIMA ประกอบด้วยสองส่วนสำคัญคือ

PRIMA
  • ชิปฝังใต้จอประสาทตา (Photovoltaic Retina Implant Microarray) — ชิ้นไมโครอาเรย์ที่ฝังไว้ด้านหลังลูกตา รับสัญญาณแสงอินฟราเรดแล้วแปลงเป็นกระแสไฟฟ้าเพื่อกระตุ้นเซลล์รับภาพที่ยังแข็งแรงอยู่บริเวณจุดรับภาพ (macula)

  • แว่นตา AR ที่มีกล้อง — กล้องจับภาพจริงแล้วส่งสัญญาณอินฟราเรดไปยังชิปที่ฝังไว้ กระตุ้นเส้นประสาทตาและสมองให้สร้างภาพขึ้นมาใหม่

เสียงจากผู้ทดลองและแพทย์

ศ.นพ. Mahi Muqit หนึ่งในผู้นำการทดลองที่ Moorfields Eye Hospital ให้ความเห็นว่า นี่คือ “เทคโนโลยีบุกเบิกที่เปลี่ยนชีวิต” ผู้ป่วยหลายคนรายงานว่าเห็นความคมชัดเพียงพอสำหรับการอ่านและกิจวัตรประจำวัน เช่นการอ่านใบสั่งยา หรือเล่นเกมคำไขว้ ตัวอย่างเช่น Sheila Irvine วัย 70 ปี ผู้สูญเสียการมองเห็นส่วนกลางมาหลายสิบปี ก็สามารถอ่านหนังสือได้อีกครั้งหลังฝังชิป

ข้อจำกัดและคำเตือนจากผู้เชี่ยวชาญ
  • ภาพที่ได้จากเวอร์ชันปัจจุบันเป็น ภาพขาว-ดำและความละเอียดจำกัด ไม่ใช่การคืนการมองเห็นแบบปกติ

  • การผ่าตัดต้องอาศัยทักษะสูง — ต้องยกจอประสาทตาออกจากตำแหน่งเพื่อติดตั้งชิป ซึ่งมีความเสี่ยงและอาจทำให้เกิดการฝ่อของเนื้อเยื่อเพิ่มเติมตามมา (Dr. Demetrios Vavvas ชี้ข้อกังวลเรื่องความเสี่ยงจากการผ่าตัด)

  • อุปกรณ์ยังอยู่ในขั้นทดลองและยังไม่ได้รับอนุญาตให้ใช้ทั่วไป ต้องรอการศึกษาในระยะยาวและการประเมินความปลอดภัยเพิ่มเติม

มีผู้ป่วยหลายล้านคนทั่วโลก ความก้าวหน้าของเทคโนโลยีปลูกถ่ายแปลว่า “ความเป็นไปได้” ที่จะคืนความสามารถในการมองเห็นบางส่วนและยกระดับคุณภาพชีวิต แต่อีกด้านหนึ่งก็ย้ำว่าการนำไปใช้จริงต้องผ่านการทดสอบระยะยาว การปรับปรุงให้ภาพมีคุณภาพมากขึ้น และการพิจารณาด้านจริยธรรมและความเสี่ยงทางศัลยกรรม

tags : physicsworld

Facebook

ใส่ความเห็น

อีเมลของคุณจะไม่แสดงให้คนอื่นเห็น ช่องข้อมูลจำเป็นถูกทำเครื่องหมาย *